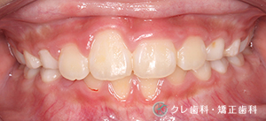
上顎正中離開を伴う上顎前突症例

治療前
治療後
主訴:前歯が出ていて唇が閉じづらい
年齢:8歳
治療方法Ⅰ期 可撤式矯正装置 Ⅱ期 マルチブラケット矯正(上下顎)
抜歯部位:なし
動的治療期間:Ⅰ期 1年1か月 Ⅱ期 9か月
通院頻度:月1回
費用:Ⅰ期 検査診断料 33,000円
基本矯正料 330,000円
動的処置料 5,500円×13回
Ⅱ期 検査診断料 11,000円
基本矯正料 385,000円
動的処置料 5,500円×9回
リスクと副作用:歯根吸収・歯肉退縮・治療後の後戻りや加齢に伴う歯列咬合の変化
空隙を伴う上顎前突症例

治療前
治療後
主訴:前歯が出ていて隙間があるのが気になる
年齢:16歳
治療方法:マルチブラケット矯正(上下顎)
抜歯部位:上顎両側第一小臼歯
動的治療期間:2年0か月
通院頻度:月1回
費用:検査診断料 44,000円
基本矯正料 715,000円
動的処置料 5,500円×24回
リスクと副作用:歯根吸収・歯肉退縮・治療後の後戻りや加齢に伴う歯列咬合の変化
下顎前突(反対咬合)症例

治療前
治療後
主訴:前歯のかみ合わせが反対になっていることが気になる
年齢:17歳
治療方法:マルチブラケット矯正(上下顎)
抜歯部位:なし
動的治療期間:1年3か月
通院頻度:月1回
費用:検査診断料 44,000円
基本矯正料 715,000円
動的処置料 5,500円×15回
リスクと副作用:歯根吸収・歯肉退縮・治療後の後戻りや加齢に伴う歯列咬合の変化
叢生を伴う反対咬合症例

治療前
治療後
主訴:前歯のかみ合わせと歯並びが気になる
年齢:12歳
治療方法:マルチブラケット矯正(上下顎)
抜歯部位:なし
動的治療期間:1年4か月
通院頻度:月1回
費用:検査診断料 44,000円
基本矯正料 715,000円
動的処置料 5,500円×16回
リスクと副作用:歯根吸収・歯肉退縮・治療後の後戻りや加齢に伴う歯列咬合の変化
叢生を伴う開咬症例

治療前
治療後
主訴:前歯が咬んでおらず歯並びも気になる
年齢:16歳
治療方法:マルチブラケット矯正(上下顎)
抜歯部位:上下顎両側第一小臼歯
動的治療期間:1年4か月
通院頻度:月1回
費用:検査診断料 44,000円
基本矯正料 715,000円
動的処置料 5,500円×21回
リスクと副作用:歯根吸収・歯肉退縮・治療後の後戻りや加齢に伴う歯列咬合の変化
過蓋咬合を伴う叢生症例

治療前
治療後
主訴:前歯の歯並びが気になる
年齢:12歳
治療方法:マルチブラケット矯正(上下顎)
抜歯部位:なし
動的治療期間:2年0か月
通院頻度:月1回
費用:検査診断料 44,000円
基本矯正料 715,000円
動的処置料 5,500円×24回
リスクと副作用:歯根吸収・歯肉退縮・治療後の後戻りや加齢に伴う歯列咬合の変化
前歯部の一部反対咬合を伴う交叉咬合症例

治療前
治療後
主訴:上下の歯列が左右にずれている
年齢:9歳
治療方法:部分的なブラケット矯正(上顎)
抜歯部位:なし
動的治療期間:9か月
通院頻度:月1回
費用:検査診断料 33,000円
基本矯正料 330,000円
動的処置料 5,500円×9回
リスクと副作用:歯根吸収・歯肉退縮・治療後の後戻りや加齢に伴う歯列咬合の変化
開咬傾向を伴う叢生症例

治療前
治療後
主訴:前歯の歯並びが気になる
年齢:12歳
治療方法:マルチブラケット矯正(上下顎)
抜歯部位:上下顎両側第一小臼歯
動的治療期間:1年8か月
通院頻度:月1回
費用:検査診断料 44,000円
基本矯正料 715,000円
動的処置料 5,500円×20回
リスクと副作用:歯根吸収・歯肉退縮・治療後の後戻りや加齢に伴う歯列咬合の変化
上顎左側犬歯の低位唇側転位を伴う叢生症例

治療前
治療後
主訴:前歯の歯並びが気になる
年齢:19歳
治療方法:マルチブラケット矯正(上下顎)
抜歯部位:なし
動的治療期間:8か月
通院頻度:月1回
費用:検査診断料 44,000円
基本矯正料 715,000円
動的処置料 5,500円×8回
リスクと副作用:歯根吸収・歯肉退縮・治療後の後戻りや加齢に伴う歯列咬合の変化
上顎正中離開を伴う左側小臼歯部交叉咬合症例

治療前
治療後
主訴:前歯の隙間が気になる
年齢:30歳
治療方法:マルチブラケット矯正(上下顎)
抜歯部位:なし
動的治療期間:1年2か月
通院頻度:月1回
費用:検査診断料 44,000円
基本矯正料 715,000円
動的処置料 5,500円×14回
リスクと副作用:歯根吸収・歯肉退縮・治療後の後戻りや加齢に伴う歯列咬合の変化
上顎右側犬歯の低位唇側転位を伴う叢生症例

治療前
治療後
主訴:前歯の歯並びが気になる
年齢:20歳
治療方法:舌側ブラケット矯正(上下顎)
抜歯部位:上下顎両側第一小臼歯
動的治療期間:1年10か月
通院頻度:月1回
費用:検査診断料 44,000円
基本矯正料 1,265,000円
動的処置料 5,500円×20回
リスクと副作用:歯根吸収・歯肉退縮・治療後の後戻りや加齢に伴う歯列咬合の変化
上下顎前歯部の空隙症例

治療前
治療後
主訴:前歯の隙間が気になる
年齢:15歳
治療方法:アライナー型矯正装置(上下顎)
抜歯部位:なし
動的治療期間:5か月
通院頻度:月1回
費用:検査診断料 44,000円
基本矯正料 660,000円
動的処置料 5,500円×5回
リスクと副作用:歯根吸収・歯肉退縮・治療後の後戻りや加齢に伴う歯列咬合の変化
矯正歯科治療の一般的な治療期間と通院回数
矯正歯科治療の一般的な治療期間(通院回数)については概ね以下の通りとなります。
患者様によって不正咬合の程度や適した治療方法は様々ですので、治療期間(通院回数)には大きな幅があります。
乳歯・混合歯列期の治療
動的治療:0.5~1.5年(6~12回)
保定または経過観察:0.5~1.5年(3~6回)
永久歯列期の治療(抜歯を伴わない場合)
動的治療:0.5~1.5年(6~12回)
保定:1.0~2.0年(4~8回)
永久歯列期の治療(抜歯を伴う場合)
動的治療:1.0~2.5年(12~30回)
保定:1.0~2.0年(4~8回)
矯正治療のリスクと対応
1.治療結果の良否は患者さんの治療上必要な協力の度合いによって左右される場合があります。
患者さんから治療上必要な協力が得られない場合には、御相談の上、治療方針の変更を含めた対応を取らせていただくことがあります。
2.歯の動き方(早さ)には個人差があるため、予想される治療期間と実際の治療期間に相違が生じる場合があります。
当院では、すべての患者さんにおいて可能な限り治療期間が少なくように心がけて治療を行っております。 しかし、矯正治療開始後に歯の動き方(早さ)が平均よりも緩慢であることが認められる患者さんにつきましては、予想される治療期間が長くなることをご理解いただき、必要に応じて治療方針の変更を含めた対応を取らせていただくことがあります。
3.矯正治療中は歯の移動に伴い、一時的に痛みを感じる場合があります。
当院では、すべての患者さんにおいて可能な限り痛みが少なくなるように、弱い力を用いた矯正治療を行っています。しかし、矯正治療中の痛みの感じ方については個人差が大きく、痛みを感じやすい患者さんもいらっしゃいます。 痛みを感じやすい患者さんにつきましては、矯正治療に用いる力をさらに弱めることで痛みの軽減を図り、必要に応じて痛み止めを処方することがあります。
4.矯正治療中は矯正装置と口腔粘膜の接触により口内炎等ができる場合があります。
当院では、口腔粘膜と接触する矯正装置についてはできる限り、丸みを帯びた設計のものを使用し、口腔粘膜に物理的な刺激が加わらないように心がけています。 また、口内炎ができてしまった場合に備えて、患者さんご自身で対応ができるように口腔粘膜の保護材を処方しています。
5.固定式矯正装置の装着中に、硬い食物を摂取すると装置の一部が破損または脱落する場合があります。
当院では固定式矯正装置が破損または脱落しづらいように心がけて治療を行っていますが、装置の破損および脱落防止が繰り返し生じる患者さんにつきましては、必要に応じてお煎餅などの固いものやスルメなどの噛み切りづらい食物の摂取を控えていただくことがあります。
6.歯の移動に伴い、患者さんによっては歯根吸収(歯根が短くなる症状)および歯肉退縮(歯茎が退縮する症状)などの症状が生じる場合があります。
当院では、すべての患者さんにおいて、矯正治療にできる限り弱い力を用いるとともに、動的治療期間を短くすることで歯根吸収および歯肉退縮のリスクを最小限にとどめるよう治療を行っています。 歯根吸収および歯肉退縮のリスクが高い患者さんにつきましては、矯正治療開始前にあらかじめその旨をご説明し、患者さんの了承を得た上で治療を開始しております。 矯正治療開始後に歯根吸収および歯肉退縮の重篤化が予見される場合は治療方法の変更を含めた対応をとることがあります。歯肉退縮に程度によっては、歯肉移植等の処置のため歯周病専門医をご紹介することがあります。
7.固定式矯正装置の装着中のプラークコントロール(歯磨き)が良好でない場合、虫歯や歯周病になるリスクが高まります。
当院では、すべての患者さんに正しいプラークコントロール(歯磨き)の方法を身に着けていただくために、歯ブラシ・補助的清掃器具によるブラッシングや洗口剤の使用法などについて指導を行っております。 矯正治療中も随時、歯科医師または歯科衛生士による口腔内のクリーニングを行い、虫歯や歯周病になるリスクを最小限にとどめるよう治療を行っています。
8.矯正治療終了後に、保定装置(リテーナー)を適切に使用しないとかみ合わせと歯並びが治療前の状態に戻る場合(後戻り)があります。
当院では、矯正治療終了後にかみ合わせと歯並びが安定させる目的で保定装置(リテーナー)を使用していただいております。保定装置は数種類の中から患者さんに合うものを選択しています。 患者さんが保定装置を使用しなかったことにより後戻りが生じた場合は、御相談の上、再治療を含めた対応を取らせていただくことがあります。
9.埋伏歯、形態異常歯、および骨性癒着歯が存在する場合、歯を目的の位置に移動することが出来ない場合があります。
当院では、埋伏歯、形態異常歯、および骨性癒着歯が存在する患者さんにつきましては、矯正治療開始前にあらかじめその旨をご説明し、患者さんの了承を得た上で治療を開始しております。 矯正治療開始後に当該歯の移動が難しいと判断した場合は、治療方法の変更を含めた対応をとることがあります。
10.成長期の患者さんにおいて、顎の成長発育の度合いによっては、矯正治療中における治療方針の変更、矯正治療後の再治療もしくは将来的に外科的矯正治療が必要となる場合があります。
11.骨格的な上下顎骨の不調和が大きい場合(顔面の非対称感、上顎または下顎の突出および後退など)は外科的矯正治療が必要となる場合があります。

